-
Uncategorized -
-
ਡਾ. Navjot Dhindsa, MD., FRCPC, ਕ੍ਰਾਂਤੀਕਾਰੀ ਸਹਾਇਕ ਇਲਾਜਾਂ ਸਮੇਤ ਗਠੀਏ ਦੇ ਇਲਾਜ ਲਈ ਵੱਖ-ਵੱਖ ਇਲਾਜਾਂ ਬਾਰੇ ਗੱਲਬਾਤ ਕਰਦੇ ਹਨ।ਗਠੀਏ (ਰਿਊਮਾਟੋਇਡ ਆਰਥਰਾਈਟਿਸ) ਦੇ ਇਲਾਜ ਦੇ ਵਿਕਲਪ
ViewRemove -
Rheumatoid arthritis (RA) is an autoimmune disease in which the body's immune system attacks joint tissue, causing inflammation of the joint lining.Rheumatoid Arthritis
ViewRemove -
Psoriatic arthritis (PsA) is a type of inflammatory arthritis that occurs when the immune system attacks the joints and the skin for reasons unknown.Psoriatic Arthritis Quiz
ViewRemove -
A steroid similar to cortisone used to treat inflammatory or rheumatic conditions.Prednisone
ViewRemove -
Polymyalgia rheumatica (PMR) is an inflammatory disorder that affects more women than men and causes pain and stiffness in the shoulders and the hips.Polymyalgia Rheumatica Quiz
ViewRemove -
Osteoporosis is a disease characterized by low bone mass and deterioration of bone tissue.Osteoarthritis Treatment Methods
ViewRemove -
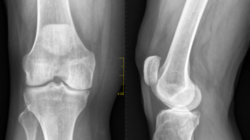
Osteoarthritis (OA) is the most common type of arthritis, affecting millions of people worldwide.Osteoarthritis of the Knee
ViewRemove -
Osteoarthritis is a chronic condition in which the cartilage between certain joints breaks down as the person ages causing pain and discomfort.Osteoarthritis
ViewRemove -
Methotrexate is used in rheumatologic conditions such as rheumatoid arthrtis, psoriatic arthritis and lupus. Methotrexate can be effective if dosed and monitored properly.Methotrexate
ViewRemove -
Lupus is a chronic autoimmune disease in which the body's immune system becomes hyperactive and attacks normal, healthy tissue throughout the body.Lupus
ViewRemove -
Dr. Jean-Pierre Raynauld, MD, FRCPC, parle de biosimilaires pour le traitement de la polyarthrite rhumatoïde.Les biosimilaires pour le traitement de la polyarthrite rhumatoïde
ViewRemove -
Leflunomide is an immunosuppressive disease-modifying antirheumatic drug used in active moderate-to-severe rheumatoid arthritis and psoriatic arthritis.Leflunomide
ViewRemove -
Knee injuries are extremely common, and knee replacement surgery may be an option if you have a sports injury, arthritis or other condition.Knee Replacement
ViewRemove -
While the hip is designed to stand up to wear and tear, problems can develop due to age and use.Hip Replacement
ViewRemove -
Gout is a kind of arthritis. It can cause an attack of sudden burning pain, stiffness, and swelling in a joint, usually a big toe.Gout
ViewRemove -
Giant cell arteritis is a disease of the small blood vessels and usually presents with swelling and thickening of the small arteries in and around the temporal arteries. Patients often present with headaches in the temporal region.Giant Cell Arteritis
ViewRemove -
Calcium is essential for living organisms, in particular in cell physiology, where movement of the calcium into and out of the cytoplasm functions as a signal for many cellular processes.Calcium & Vitamin D
ViewRemove -
Biosimilars are biological products used in the treatment of Rheumatoid Arthritis, Psoriatic Arthritis and Ankylosing Spondylitis. They are biological products produced from pre-existing Biologics.Biosimilars for the Treatment of RA
ViewRemove -
Atopic dermatitis (eczema) is a condition that makes your skin red and itchy. It's common in children but can occur at any age. Atopic dermatitis is long lasting (chronic) and tends to flare periodically. It may be accompanied by asthma or hay fever.Atopic Dermatitis
ViewRemove -
Shoulder Arthritis: What You Need to Know. Arthritis is damage to the cartilage in joints. Shoulder arthritis occurs when the cartilage starts wearing down on the ball and/or socket sides of the shoulder joint.Arthritis of the Shoulder
ViewRemove -
Ankylosing spondylitis is a chronic type of arthritis that affects the lower back,causing inflammation, pain and stiffness.Ankylosing Spondylitis
ViewRemove -
Endocrine Conditions Edit Category Remove Category Change Category Order -
Conditions Edit Category Remove Category Change Category Order -
Allied Support Edit Category Remove Category Change Category Order

